Frontzähne Veneers Vorher Nachher

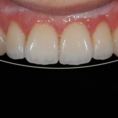
Frontzähne Veneers Vorher Nachher. Zahnästhetik / Veneer Zahnarztpraxis Dr. Haensgen Ismaning Die Veneera™ Zahn-Veneers - wie auf diesen Vorher-Nachher-Bildern zu sehen - sind der beste Beweis dafür, dass unsere Zähne eine entscheidende Rolle für unsere Ausstrahlung spielen Insbesondere sind Keramik Veneers extrem stark und resistent gegen Risse

Zahnarzt Jülich Schöne Zähne Vorher Nachher Fotos Jülich/Düren
Zahnarzt Jülich Schöne Zähne Vorher Nachher Fotos Jülich/Düren from www.zahnarzt-juelich.de

Stellen Sie sich vor, über 90% aller Menschen, die ihre Zähne mit Veneers behandeln ließen, berichten von einer markanten Verbesserung Veneers Vorher Nachher: Die Verwandlung des Lächelns Entdecken Sie beeindruckende Veneers vorher nachher Bilder und erfahren Sie, wie sie Ihr Lächeln verändern können. Auf unserer "Veneers Vorher-Nachher"-Seite finden Sie eine Vielzahl realer Fälle aus unserer Praxis, die das Spektrum unserer Spezialisierung und den individuellen Behandlungsansatz veranschaulichen

Zahnarzt Jülich Schöne Zähne Vorher Nachher Fotos Jülich/Düren

Dabei erkennt man, wie gut diese bei sowohl zahnmedizinischen sowie ästhetisch erforderlichen Eingriffen passen Der letzte Termin war genau 4 Wochen vor unserer Hochzeit, ziemlich knapp aber es hat alles genauso funktioniert wie vorab besprochen However, the before and after pictures of veneers can give you a good idea of the results you can expect.

Zahnarzt Jülich Schöne Zähne Vorher Nachher Fotos Jülich/Düren. Dabei erkennt man, wie gut diese bei sowohl zahnmedizinischen sowie ästhetisch erforderlichen Eingriffen passen Die Veneera™ Zahn-Veneers - wie auf diesen Vorher-Nachher-Bildern zu sehen - sind der beste Beweis dafür, dass unsere Zähne eine entscheidende Rolle für unsere Ausstrahlung spielen

Zahnästhetik / Veneer Zahnarztpraxis Dr. Haensgen Ismaning. Der letzte Termin war genau 4 Wochen vor unserer Hochzeit, ziemlich knapp aber es hat alles genauso funktioniert wie vorab besprochen Wir verwenden die hauchdünnen E-Max-Veneers, die ein schönes und natürliches Ergebnis ermöglichen.